-
マウスピース矯正症例
-
マウスピース矯正症例
2026.04.13
前歯が1本大きくずれている【10代女性】
10代女性の症例をご紹介します。前歯ががたつき、特に右の前歯1本が大きくずれて部分的にかみ合わせが反対になっていました。今回は右上の第… -
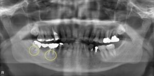
根管治療症例
-
根管治療症例
2026.01.15
上顎洞炎を伴う根尖病変に対するマイクロスコープ下の根管治療
右上の痛みを訴えて来院されました。 CT撮影の結果、右上6番の根尖に黒い影があり、上顎洞内の粘膜も炎症で厚く腫れていることが確認できました… -
根管治療症例
2026.01.15
歯根分岐部病変に対する根管治療と外科的処置の併用症例
右上の歯ぐきの腫れを訴えて来院されました。 右上6番はレントゲン写真やCT撮影から、歯の神経および歯根の分岐部位に感染を起こしていることが…

