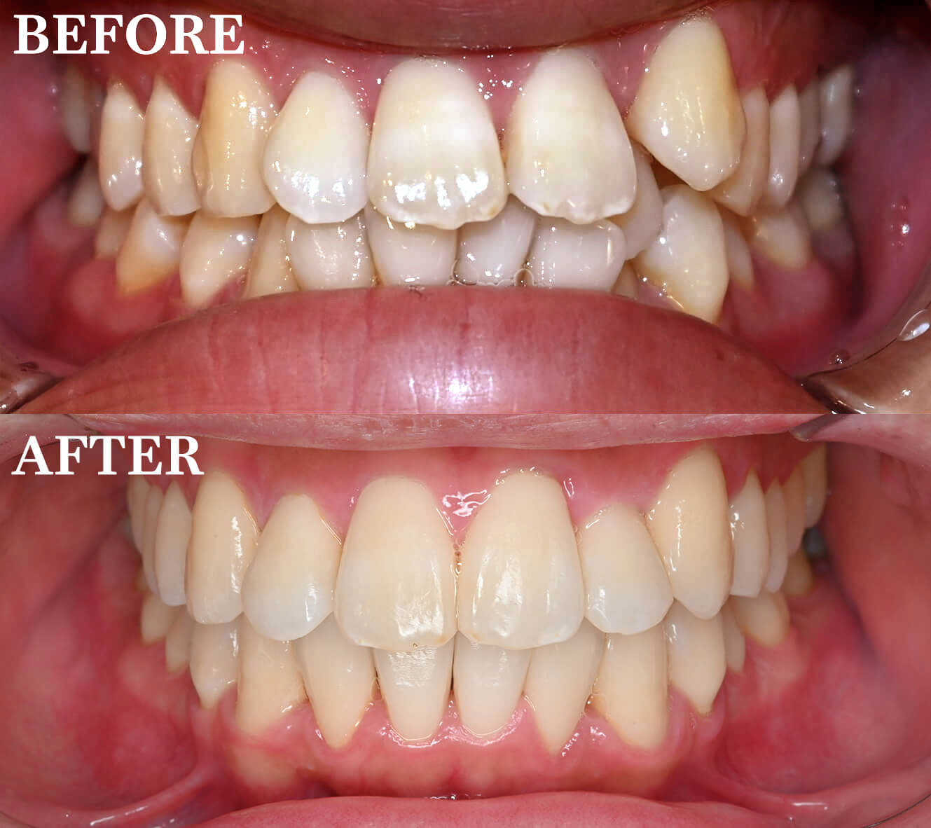
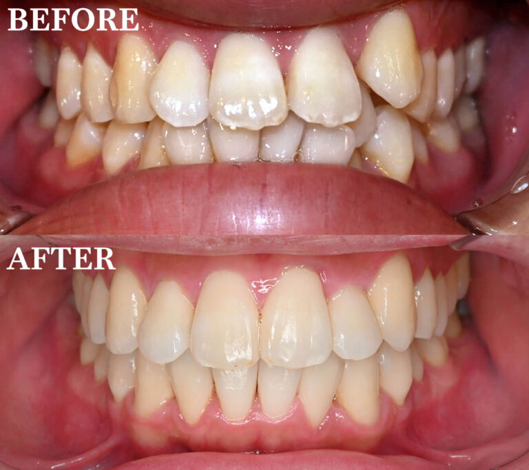
症例紹介
当院のマウスピース矯正の
取り組み

この度は当院のサイトをご覧頂き有難う御座います!
院長の松本光平です。
当院では患者様にできる限りストレスのない生活を送って頂きたいと考えマスウピースを使用した治療で歯並び改善のお手伝いをさせて頂いております。
ワイヤー矯正では治療中の見た目を気にされる方がとても多かったですが、この透明のマウスピースをつけておくだけで歯並びが改善するので患者様のご負担が大きく軽減しました。
また当院では矯正治療と並行して虫歯や歯周病、根管治療、抜歯、インプラントまで全て私が責任を持って治します。
「矯正治療以外のことは別の医院に通わなければいけない」
「担当の先生がコロコロ変わる」
このような心配はありませんのでご安心ください。
矯正治療を行うと歯並びが整い、口元が美しくなりますが、それに加えて、歯磨きがとてもしやすくなり、咬合圧が一本一本の歯に均等に負担されるようになります。
これによって歯周病、虫歯のリスクが減少し
「何歳になっても自分の歯で食事ができる」
という状態を目指しやすくなります。
皆様の歯を少しでも長く保てるようにお手伝いをさせて頂きますので気になる方はご相談下さい。
矯正治療に興味はあるけど・・・

- 装置が目立つのは恥ずかしい
- 矯正中の虫歯や歯周病が心配
- 続けられるか不安
- 手入れが大変そう
このようなイメージは実はひと昔前のもの!
当院では
誰にも気づかれない
マウスピース矯正
をおすすめしてます。

マウスピース矯正は、透明なマウスピースを使用して歯を動かす矯正システムです。厚さはわずか0.5mm程度で、患者様の個々の歯列にフィットするようにオーダーメイドで作製されるため、装着時の違和感・異物感が極めて小さくなっています。
マウスピース矯正の仕組み

まず、アイテロという口腔内スキャナーを用いて、デジタル上で患者様のお口の立体模型を作成します。
出来上がった模型をもとに、一本一本の歯を移動させて理想の歯並びになるように計画を立てます。
一本一本の歯を急に動かすことは物理的にできないので、最初の歯並びから最終目標の歯並びになるまで微妙に形の異なるマウスピースを1週間毎に交換してはめていって頂きます(1つのマウスピースで0.25mmの移動が計画されます)
これを繰り返すことで、無理なく歯が移動していき、美しい口元になっていきます。
マウスピース矯正のメリット
- 透明な装置で目立たない
- 少しづつ移動させるから痛くない
- 取り外し式でいつも清潔
- 金属アレルギーのリスクはゼロ
- 薄くてフィットするので違和感が少ない
- 来院頻度が2、3ヶ月に一回で良い
- 都合に合わせて治療を休憩できる
- ワイヤー矯正と比較して無駄な動きが少ない
症状に合わせたプラン
部分矯正(上下)

| 適応 | 軽度の症例 |
|---|---|
| 治療期間 | 約6ヶ月 |
| マウスピースの枚数 | 28枚まで |
48万円(税込52.8万円)
全体矯正(上下)

| 適応 | 重度の症例 |
|---|---|
| 治療期間 | 2〜3年 |
| マウスピースの枚数 | 制限なし |
72万円(税込79.2万円)
無料相談の流れ
- 01各種検査
-

レントゲン検査、虫歯、歯周病の検査、アイテロによる光学スキャンを行います。
※レントゲンの検査や歯周病の検査費用がかかります。
- 02カウンセリング
-

コンピューター上で3Dの歯並びを映し出し、その場である程度の治療のシミュレーションをご説明させていただきます。また、マウスピース矯正のシステムや当院の矯正治療の流れを詳しくご説明致します。
※ここでほぼ診断に近い内容までお話させていただきます。
- 03治療のお見積もり
-

治療にかかる費用の概算をお伝えいたします。分割払いをご検討の方は、当院ではデンタルローンの取り扱いも行っております。
矯正相談は、当院での治療を強制するもの
ではございませんので、お気軽にご利用ください。
相談後から治療開始までの流れ
- 01治療開始のご連絡
-

治療を進めるご予約をとって頂きます。
- 02治療計画のご説明
-

治療の流れ、使用する装置、治療期間、費用に関する説明、起こりうるリスクに関する情報提供などを行います。
- 03マウスピースの作製
-

治療の計画にご納得頂けましたら、マウスピースを作製に取りかかります。
約3週間後
- 04マウスピースを装着し矯正開始
-

透明のマウスピースが数10枚届きますので、一枚目から順に装着して頂きます(交換は1週間毎です)。
約半年〜(症例により異なります。詳しくは御来院
した際に歯科医師にお尋ね下さい。)
- 05治療終了(保定期間)
-

動かした歯の後戻りを防止するため一定期間「保定装置」を装着する必要があります。
治療費用
| 矯正相談 | 0円 | |
|---|---|---|
| 診断料 | 10,000円(税込11,000円) | |
| マウスピース矯正 | マウスピース矯正(全体矯正) | 720,000円(税込792,000円) |
| マウスピース矯正(部分矯正)※28枚程度 | 480,000円(税込528,000円) | |
| マウスピース矯正(部分矯正)※78枚程度 | 580,000円(税込638,000円) | |
| マウスピース矯正(抜歯あり) | 800,000円(税込880,000円) | |
| 管理料 | 3,500円程度/月(来院のない月はかかりません) | |
| 保定装置 | 20,000円(税込22,000円) | |
※表は左右にスクロールして確認することができます。
よくある質問
- Q1治療期間はどのくらいですか?
- A1その方の歯並びにもよりますが、部分矯正で約半年間、全体矯正で約2年半となることが多いかと思われます。
- Q2普通の矯正と比べて部分矯正はどう違うのですか?
- A2部分矯正は前歯の見える部分を中心とした矯正治療になります。短期間で見た目改善したい場合にはおすすめになりますが、噛み合わせも含めてしっかり治す場合は通常の全体矯正をおすすめさせて頂いております。
- Q3最初はいくらかかりますか?
- A3初回は無料となっております。お口の中を拝見させて頂き、おおよその治療期間、プランのお話をさせて頂きます。
- Q4年齢によって矯正できないことはありますか?
- A4年齢は関係ありません。何歳の方でも歯は動きますのでご安心ください。
- Q5出来るだけ歯を抜かずに矯正することはできますか?
- A5歯列を横に広げたり、奥歯をさらに奥に送ってあげたり、IPRという方法でスペースを作ったりすることで、出来る限りの対応をさせて頂きます。ただケースによってはかなり困難な場合もあることはご理解頂ければと思います。



