歯髄炎に対する抜髄・根管充填処置の症例
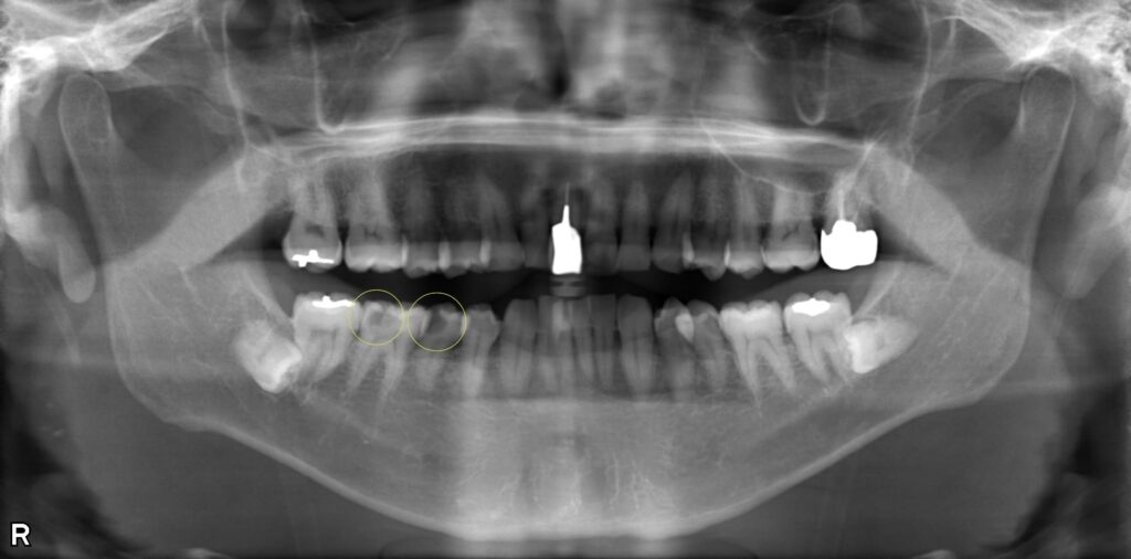
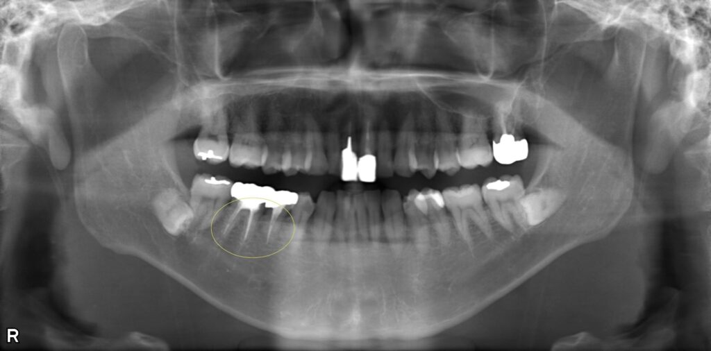
右下の痛みを訴えて来院されました。右下5番・6番に大きな虫歯ができており、歯の神経に炎症を引き起こしている「歯髄炎」という状態でした。 歯髄炎の場合は、炎症が根管内のどの部位まで進行しているかを診断します。 今回のケースでは、根の先まで炎症が進行しておらず、まだ感染を起こしていない状態でしたので、抜髄処置と同時に緊密な根管充填を行いました。 充填処置を即日に行うことで、感染にさらされる機会を最小限に抑えることができます。 術後の経過は良好で、根尖部に透過像もなく安定しています。
症例画像


治療詳細
| 概要 | 右下の痛みを訴えて来院されました。右下5番・6番に大きな虫歯ができており、歯の神経に炎症を引き起こしている「歯髄炎」という状態でした。 歯髄炎の場合は、炎症が根管内のどの部位まで進行しているかを診断します。 今回のケースでは、根の先まで炎症が進行しておらず、まだ感染を起こしていない状態でしたので、抜髄処置と同時に緊密な根管充填を行いました。 充填処置を即日に行うことで、感染にさらされる機会を最小限に抑えることができます。 術後の経過は良好で、根尖部に透過像もなく安定しています。 |
| 治療部位 | 右下5番6番 |
| 治療内容 | 根管治療 |
| 治療期間 | 3回 |
| 費用 | 保険診療 約3,000円 〜 10,000円 |
| 治療の注意点・リスク | 再発のリスク: 複雑な根管内の細菌を完全に除去できない場合、治療後に再度感染や炎症を起こす可能性があります。 歯根の破折: 根管が非常に細い、または湾曲している場合、治療中に器具の操作や歯質の削り過ぎにより、歯の根が割れてしまう(破折)リスクがあります。 術後の痛み・腫れ: 根管の清掃・消毒後、一時的に歯の周囲や顎に痛みや腫れが生じることがありますが、通常は数日で治まります。 治療回数の増加: 根管の形態が複雑な場合や、炎症が重度な場合は、予定よりも通院回数や治療期間が増えることがあります。 抜歯の可能性: 歯根の破折や、炎症が重度で根管治療を施しても回復が見込めない場合は、やむを得ず抜歯となる可能性があります。 ※当院では、拡大ルーペやCT、マイクロスコープ(自費診療)などの精密機器を活用し、これらのリスクを最小限に抑えるよう最大限努力しています。 |
監修者情報
院長 松本光平
- 2017年 大阪大学歯学部卒業
- 2017-2019年 茨木市内歯科医院勤務
- 2019-2022年 吹田市内歯科医院勤務
- 2020-2021年 豊中市内矯正専門医院勤務

