口元を下げたい
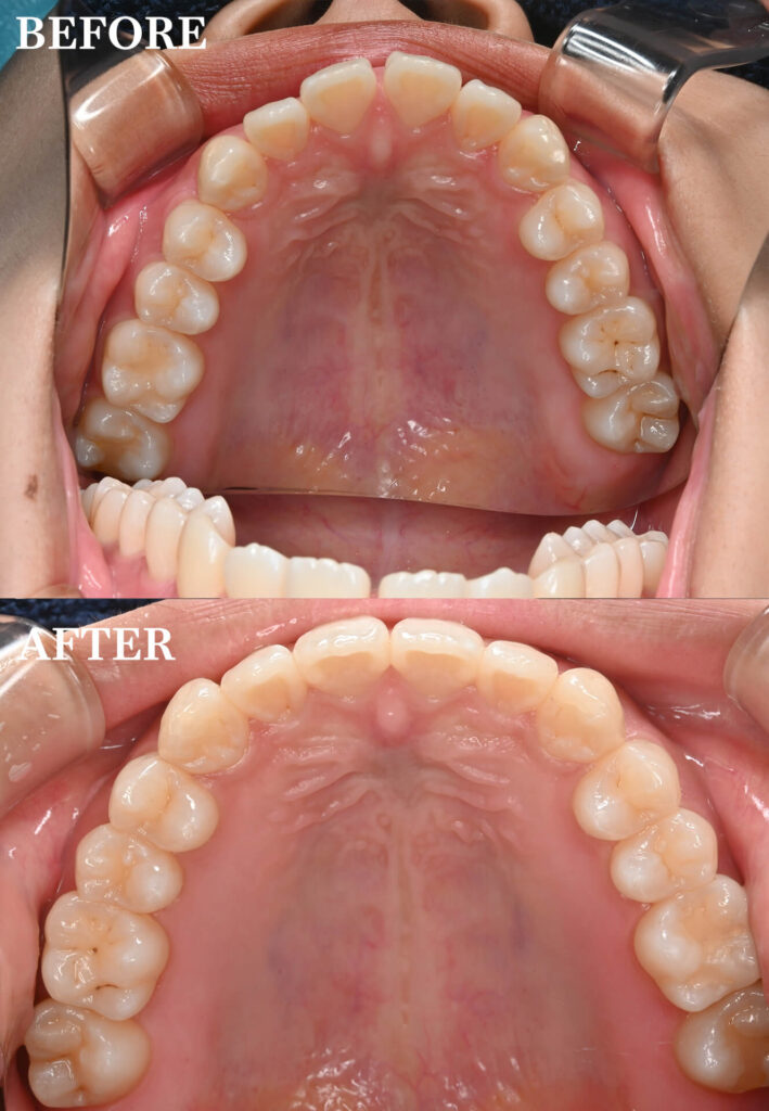
口元を下げるために歯を抜かずに歯と歯の間をIPRという方法でスペースを作りました。抜歯も検討されていましたが母親から反対されていて、僕自身も歯を抜かない方がよいと判断して説得をしました。
症例画像



治療詳細
| 主訴 | 口元を下げたい |
| 治療期間 | 1年2カ月 |
| 使用した装置 | マウスピース型矯正装置 |
| 費用 | 79万円 |
| 治療経過 | 口元を下げるために歯を抜かずに歯と歯の間をIPRという方法でスペースを作りました。抜歯も検討されていましたが母親から反対されていて、僕自身も歯を抜かない方がよいと判断して説得をしました。 |
| 治療で気を付けた点 | 抜歯をしてでも下げたいと言われた場合に、安易に抜歯をすると後々に思っていたのと違うという結果になりかねません。歯を抜いて下げたことにより舌の容積が小さくなり舌根が下がりいびきをかきやすくなったり、睡眠時無呼吸症候群となって日中の眠気に悩まされたり、しゃべりづらくなったり、鼻の下が伸びたような顔貌になってしまったり、若いうちは良くても年齢を重ねる貧相な口元になってしまったりするリスクがあります。顔の見た目は鼻や唇、下顎など様々な要素で決まってくるので歯を抜いて解決する話なのかどうかよく検討する必要があります。 |
| 治療の注意点・リスク | インビザラインには装着時間の決まりがあります。 1日20時間以上インビザラインを装着しないと計画通りに歯が動かないのでご注意ください。 虫歯の原因となるため矯正装置を清潔に保っていただく必要があります。 食事の際はインビザラインを外さないと変形の原因になります。 歯並びによってはインビザライン装置で治療ができないことがございます。 |
監修者情報
院長 松本光平
- 2017年 大阪大学歯学部卒業
- 2017-2019年 茨木市内歯科医院勤務
- 2019-2022年 吹田市内歯科医院勤務
- 2020-2021年 豊中市内矯正専門医院勤務

