前歯の隙間を治したい
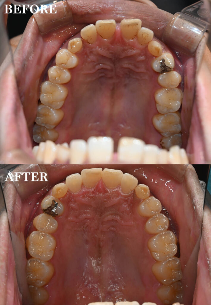
上顎の犬歯の場所に乳歯がありましたが、まだまだしっかりしていて抜ける様子はなかったため抜歯せず配列しました。マウスピース矯正は装着時間が非常に重要ですが、装着時間をしっかり守って頂けた甲斐あって特に大きな問題もなく短い期間で治療を終えることができました。
症例画像


治療詳細
| 主訴 | 前歯の隙間を治したい |
| 治療期間 | 1年 |
| 使用した装置 | マウスピース型矯正装置 |
| 費用 | 77万円 |
| 治療経過 | 上顎の犬歯の場所に乳歯がありましたが、まだまだしっかりしていて抜ける様子はなかったため抜歯せず配列しました。マウスピース矯正は装着時間が非常に重要ですが、装着時間をしっかり守って頂けた甲斐あって特に大きな問題もなく短い期間で治療を終えることができました。 |
| 治療で気を付けた点 | 上顎の乳歯はいつかは抜歯となるため、その時は欠損に対する補綴処置が必要になってくることをお伝えしました。 |
| 治療の注意点・リスク | インビザラインには装着時間の決まりがあります。 1日20時間以上インビザラインを装着しないと計画通りに歯が動かないのでご注意ください。 虫歯の原因となるため矯正装置を清潔に保っていただく必要があります。 食事の際はインビザラインを外さないと変形の原因になります。 歯並びによってはインビザライン装置で治療ができないことがございます。 |
監修者情報
院長 松本光平
- 2017年 大阪大学歯学部卒業
- 2017-2019年 茨木市内歯科医院勤務
- 2019-2022年 吹田市内歯科医院勤務
- 2020-2021年 豊中市内矯正専門医院勤務

