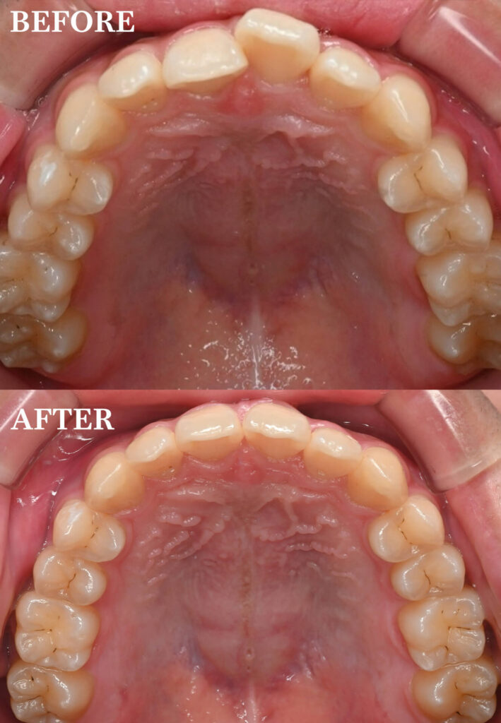
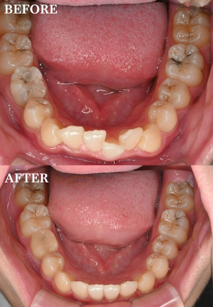
前歯が揃っていない
上下ともマウスピースを装着し、少しずつ歯を動かしていきました。奥歯の並びは問題なかったため前歯中心で動かす計画を立てました。このような歯並びの方にはマウスピースの枚数制限付きの部分矯正コースがオススメです。右下の乳歯は不適切な樹脂が詰められていて、矯正治療中に大きく欠けるというトラブルがありましたが、最終的には保険適用の被せ物を入れて治療が終了しました。
症例画像



治療詳細
| 主訴 | 前歯が揃っていない |
| 治療期間 | 1年2カ月 |
| 使用した装置 | マウスピース型矯正装置 |
| 費用 | 66万円 |
| 治療経過 | 上下ともマウスピースを装着し、少しずつ歯を動かしていきました。奥歯の並びは問題なかったため前歯中心で動かす計画を立てました。このような歯並びの方にはマウスピースの枚数制限付きの部分矯正コースがオススメです。右下の乳歯は不適切な樹脂が詰められていて、矯正治療中に大きく欠けるというトラブルがありましたが、最終的には保険適用の被せ物を入れて治療が終了しました。 |
| 治療で気を付けた点 | 右下の乳歯は後続の永久歯が先天的に欠如していたため、今後も長い期間使っていきたい歯でした。中途半端な樹脂での治療ではなくきちんと補綴処置をすることで、長持ちさせるように提案させて頂きました。また、きちんと補綴したとしても、他の永久歯と比べると寿命が来るのは早いと思われますので、その時はインプラントやブリッジなど歯を失った場合の補綴処置が必要になってくるとお伝えしました。 |
| 治療の注意点・リスク | インビザラインには装着時間の決まりがあります。 1日20時間以上インビザラインを装着しないと計画通りに歯が動かないのでご注意ください。 虫歯の原因となるため矯正装置を清潔に保っていただく必要があります。 食事の際はインビザラインを外さないと変形の原因になります。 歯並びによってはインビザライン装置で治療ができないことがございます。 |
監修者情報
院長 松本光平
- 2017年 大阪大学歯学部卒業
- 2017-2019年 茨木市内歯科医院勤務
- 2019-2022年 吹田市内歯科医院勤務
- 2020-2021年 豊中市内矯正専門医院勤務

