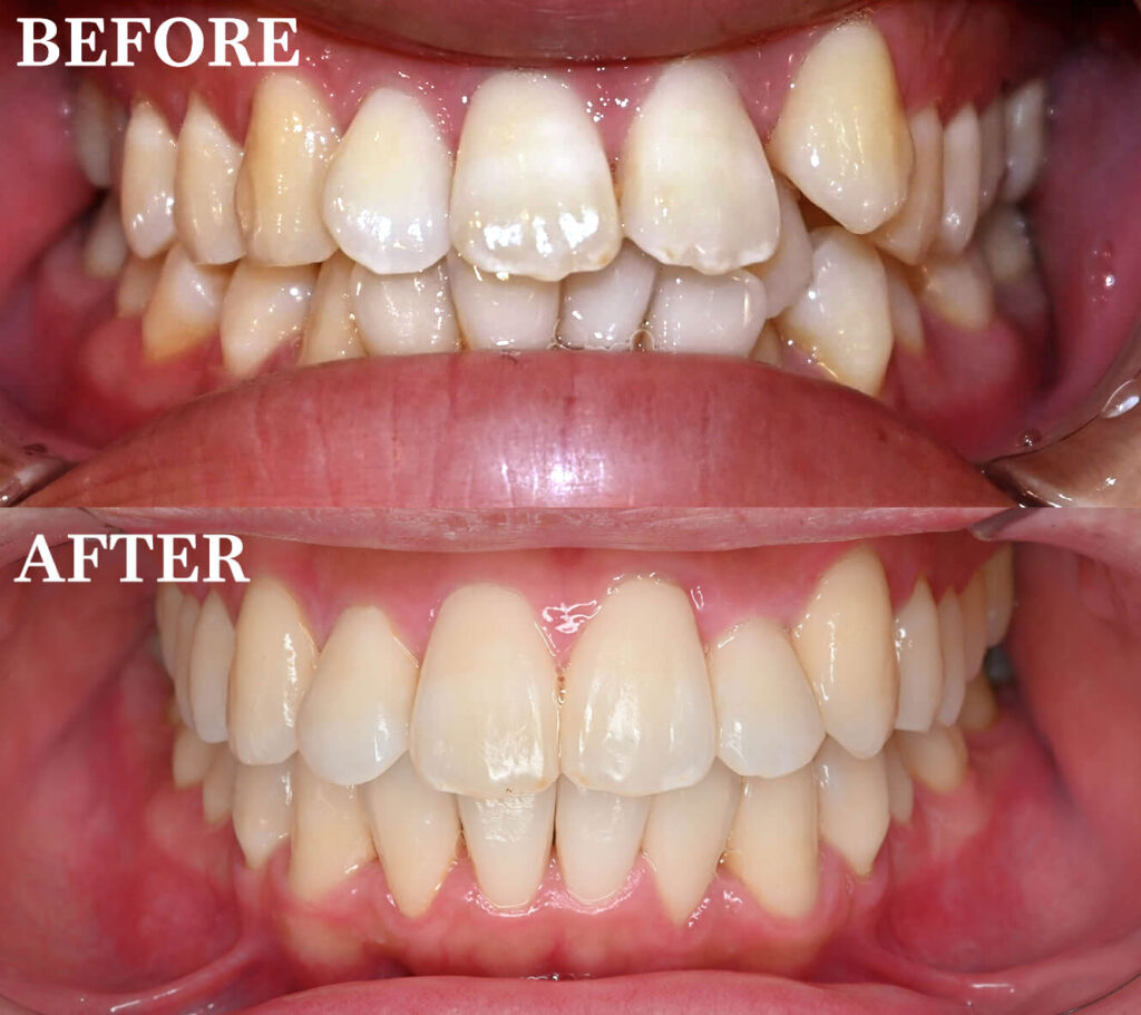
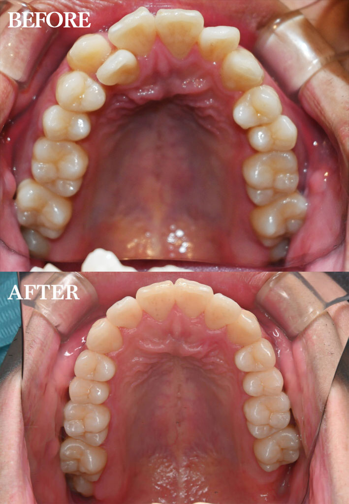
全体的に歯並び気になる
マウスピースの交換を行い、隙間を閉じた段階でダイレクトボンディングにより前歯のギザギザを解消しています。
症例画像



治療詳細
| 主訴 | 全体的に歯並び気になる |
| 治療期間 | 1年10カ月 |
| 使用した装置 | マウスピース型矯正装置 |
| 費用 | 77万円 |
| 治療経過 | 左上の親知らずを抜歯し、左の歯全体を奥に送っていく方法を取りました。奥歯の噛み方から今回は抜歯せずにいけると判断しています。途中、下の前歯の歯ぐきが下がってくるというトラブルもありましたが、修正を行い無事治療を終えました。 |
| 治療で気を付けた点 | このように真ん中が大きくずれている場合はずれを修正する方向に力をかけるためにゴムかけを行って頂くことが必要です。また、左上の前歯が完全に内側に入り込んでいたため、その分のスペースを作るためにIPR,臼歯の遠心移動、歯列拡大などあらゆる手段を講じています。 |
| 治療の注意点・リスク | インビザラインには装着時間の決まりがあります。 1日20時間以上インビザラインを装着しないと計画通りに歯が動かないのでご注意ください。 虫歯の原因となるため矯正装置を清潔に保っていただく必要があります。 食事の際はインビザラインを外さないと変形の原因になります。 歯並びによってはインビザライン装置で治療ができないことがございます。 |
監修者情報
院長 松本光平
- 2017年 大阪大学歯学部卒業
- 2017-2019年 茨木市内歯科医院勤務
- 2019-2022年 吹田市内歯科医院勤務
- 2020-2021年 豊中市内矯正専門医院勤務

