下顎右側第一大臼歯の根管治療
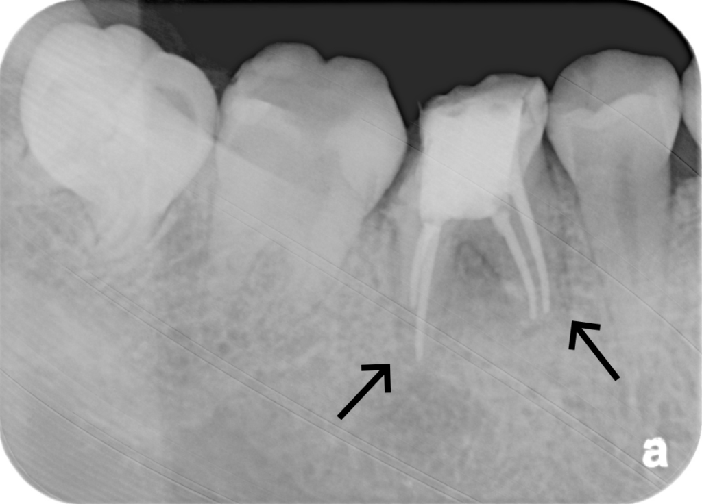
右下がかむと痛い・むし歯治療希望とのことで来院されました。 右下6番は根管内に感染を起こして根尖部に透過像を認めました。 根尖病変が非常に大きく、根管も複雑な形態をしていたため、まず歯科用CTを用いて3次元的な診断をしたのち、ルーペを使用して感染源の徹底的な除去および精密な根管治療を実施しました。 術後の経過は良好で、透過像も消失しています。根管治療後は、強度と審美性を兼ね備えたジルコニアクラウンで最終補綴を行いました。
症例画像




治療詳細
| 概要 | 前歯に穴が開いているので治療して欲しい・右下がかむと痛いとのことで来院されました。 右下6番は根管内に感染を起こして根尖部に透過像を認めました。 根尖病変が非常に大きく、根管も複雑な形態をしていたため、まず歯科用CTを用いて3次元的な診断をしたのち、拡大ルーペを使用して感染源の徹底的な除去および精密な根管治療を実施しました。 術後の経過は良好で、透過像も消失しています。根管治療後は、強度と審美性を兼ね備えたジルコニアクラウンで最終補綴を行いました。 |
| 治療部位 | 右下6番 |
| 治療内容 | 根管治療 |
| 治療期間 | 計3回 |
| 費用 | 保険診療 約3,000円 〜 10,000円 |
| 治療の注意点・リスク | 再発のリスク: 複雑な根管内の細菌を完全に除去できない場合、治療後に再度感染や炎症を起こす可能性があります。 歯根の破折: 根管が非常に細い、または湾曲している場合、治療中に器具の操作や歯質の削り過ぎにより、歯の根が割れてしまう(破折)リスクがあります。 術後の痛み・腫れ: 根管の清掃・消毒後、一時的に歯の周囲や顎に痛みや腫れが生じることがありますが、通常は数日で治まります。 治療回数の増加: 根管の形態が複雑な場合や、炎症が重度な場合は、予定よりも通院回数や治療期間が増えることがあります。 抜歯の可能性: 歯根の破折や、炎症が重度で根管治療を施しても回復が見込めない場合は、やむを得ず抜歯となる可能性があります。 ※当院では、拡大ルーペやCT、マイクロスコープ(自費診療)などの精密機器を活用し、これらのリスクを最小限に抑えるよう最大限努力しています。 |
監修者情報
院長 松本光平
- 2017年 大阪大学歯学部卒業
- 2017-2019年 茨木市内歯科医院勤務
- 2019-2022年 吹田市内歯科医院勤務
- 2020-2021年 豊中市内矯正専門医院勤務

