症例写真

(右下の奥歯が欠損している状態)

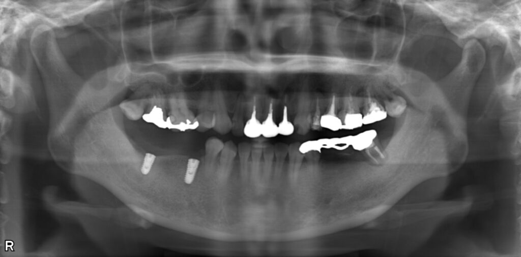
(右下の奥歯にはインプラントが適切な角度で埋入されている)




治療詳細
| 年齢・性別 | 40代 女性 |
| 患者様のお悩み | 右下でかめない |
| 治療期間 | インプラント、補綴で約1年 |
| リスク・副作用 | 術後感染、腫脹、疼痛リスク |
| 治療費用 | 約90万円 |
治療経過
口腔内の状況
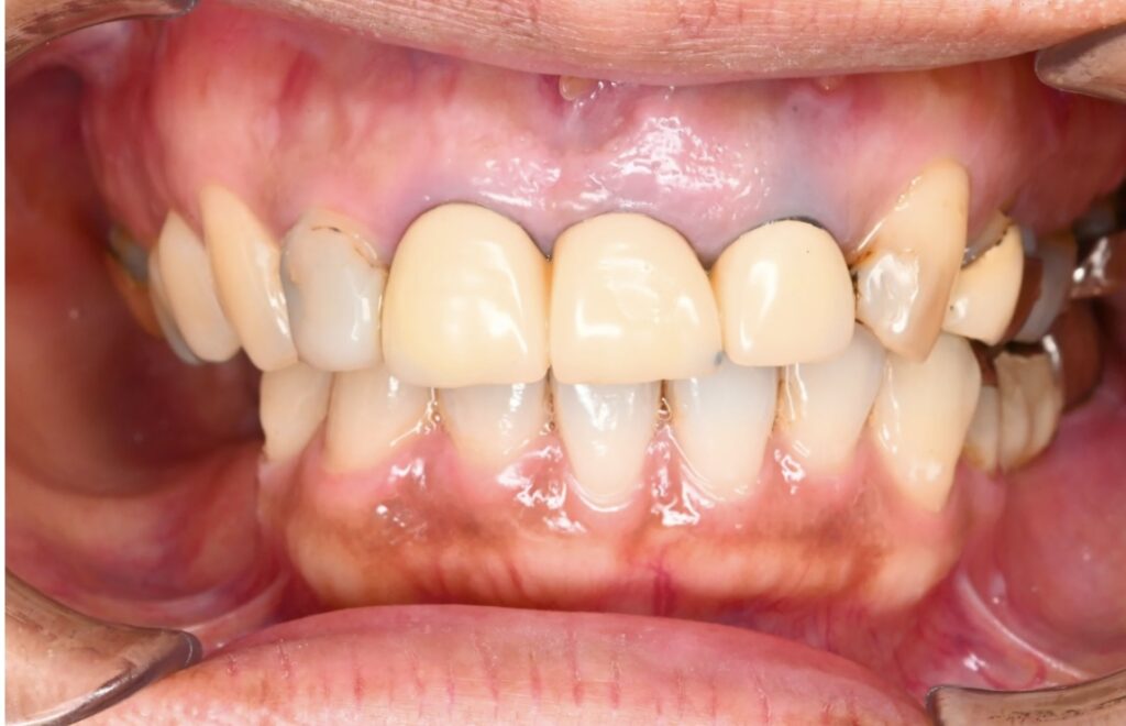
右下の奥歯がないことでかみ合わせのバランスが崩れ、反対側や前歯に過度な負担がかかっている状態でした。左下のブリッジを支える歯の状態もあまり良くありませんが、一旦右下をしっかり噛めるようにしたいとのご希望でした。右下のインプラントに関してはやや骨が痩せている部分があったため十分に骨とインプラントが結合する治癒期間をとり、その間に前歯の根の先に膿が溜まっている部分の再根管治療と被せ物のやり直しを行いました。また、前歯は歯茎の形の修正も行いました。
実際の治療の流れ
①インプラント用のCT・レントゲン撮影と歯形のスキャン
②CTのDICOMデータとスキャンした口腔内のSTLデータを重ね合わせてサージカルフルガイドを設計
③術前に全体のクリーニングと歯磨き指導
④サージカルフルガイドを使用しインプラント体を埋入(術後は特に問題なし)
骨が薄い部分があったため、6ヶ月間骨とインプラントの結合をまつ
⑤上の前歯の再根管治療とかぶせもののやり直し
清掃性や見た目の改善のため、歯ぐきの形を整える外科処置(APF)を併用しました
⑥型どり(お口の中をスキャンしてインプラントと被せ物の型をとります)
⑦インプラントの上部構造と上の前歯にCAD/CAMによる白い歯を装着
患者さんの感想
問題なく快適に噛めています!
監修者情報

院長 松本光平
- 2017年 大阪大学歯学部卒業
- 2017-2019年 茨木市内歯科医院勤務
- 2019-2022年 吹田市内歯科医院勤務
- 2020-2021年 豊中市内矯正専門医院勤務






